13.12.2025.
Prezzi degli impianti dentali in Croazia nel 2026
I dentisti croati continuano ad avere prezzi molto più bassi rispetto alla maggior parte dei Paesi UE, e gli italiani da oltre 40 anni scelgono la Croazia per il turismo sanitario.
I dentisti croati continuano ad avere prezzi molto più bassi rispetto alla maggior parte dei Paesi UE, e gli italiani da oltre 40 anni scelgono la Croazia per il turismo sanitario. Anche se la Croazia è entrata nell’Eurozona nel 2023 e molti servizi e beni sono aumentati di prezzo, le cure odontoiatriche sono rimaste significativamente più convenienti rispetto all’Italia: lo stesso intervento in Croazia, con gli stessi materiali, può costare fino al 60% in meno rispetto all’Italia.
La ricerca è stata effettuata su oltre 40 cliniche croate che lavorano nel turismo sanitario. Le cliniche utilizzano impianti in titanio e, per ogni impianto, riceverete garanzia e libretto/passaporto dell’impianto, che ne certifica origine e qualità. Nella tabella potete trovare i prezzi degli interventi odontoiatrici più comuni in Croazia.
Aggiornato il 21.04.2026.
Attenzione: un prezzo più basso non significa automaticamente lo stesso livello di qualità. Prima di accettare un preventivo, verificate sempre la marca dell’impianto, il materiale della corona o del ponte, la presenza di provvisori, gli esami inclusi e le eventuali garanzie.
Il costo di servizi odontoiatrici varia, sia in Italia che in Croazia. Un prezzo più basso per lo stesso intervento è spesso legato all’uso di materiali di qualità inferiore, al mancato rispetto dei protocolli sanitari (o alla velocità con cui vengono svolte determinate fasi), alla competenza del medico, all’impiego di nuove tecnologie, alle garanzie, ecc. Anche le soluzioni più economiche possono risultare soddisfacenti, ma devono essere rispettate le fasi terapeutiche, per evitare complicazioni che in futuro potrebbero richiedere interventi più complessi, con maggiori costi e perdita di tempo.
Ad esempio, l’edentulia totale può essere risolta con una protesi semifissa su 2 impianti, che in Croazia si può trovare già a 1.600 €. Tuttavia, è importante informarsi sul tipo di impianto e sul materiale della protesi, sulle garanzie e sulla procedura di inserimento.
Possiamo fare in Italia un impianto con corona come in Croazia allo stesso prezzo?
Se il prezzo di un intervento implantologico in Italia è uguale a quello in Croazia, potete essere certi che nell’offerta mancano alcune voci e/o vengono utilizzati materiali diversi (sia per l’impianto sia per i denti/protesi). In Croazia, a parità di prezzo, spesso otterrete un lavoro di qualità superiore.
Le tecnologie utilizzate (TAC 3D/CBCT, DSD, CAD/CAM, implantologia guidata digitalmente, ecc.) non sono generalmente disponibili nelle cliniche “low cost”. Inoltre, i medici che inseriscono impianti devono essere altamente formati in chirurgia e rispettare tutte le procedure chirurgiche e i tempi necessari per un esito implantologico di successo.
A che cosa prestare attenzione prima di scegliere una clinica per lavori implantologici?
1) Costi nascosti
Le offerte ottenute online sulla base di una panoramica (OPT/ortopanoramica) sono molto indicative e spesso imprecise. A fini di marketing, vengono spesso pubblicizzati lavori non definitivi con protesi provvisorie; inoltre, talvolta non sono inclusi: prima visita, OPT, TAC 3D, anestesia, rigenerazione/aumento osseo, estrazioni, componenti protesiche (monconi/abutment), ecc. Spesso viene evidenziato un prezzo riferito a lavorazioni di bassa qualità. Nel costo totale vanno considerati anche trasporto, alloggio e il tempo che dovete trascorrere nella destinazione. In Croazia, alcune di queste voci sono spesso gratuite.
- Prestate attenzione a come viene fatta la diagnosi (se inserite impianti, per pianificare la terapia il medico deve avere un’immagine 3D).
- Insistete affinché nel preventivo siano indicati marca dell’impianto e materiale di corone o ponti.
- Verificate se il preventivo iniziale include una protesi provvisoria da indossare durante l’osteointegrazione.
- Chiedete che tutte le fasi della terapia e il numero di visite siano indicati nel modo più dettagliato possibile.
- Se viaggiate in Croazia (o altrove), leggete le recensioni, informatevi sulla clinica e verificate i costi di viaggio e alloggio (alcune voci possono essere offerte).
- Se durante il trattamento cambia il piano terapeutico, chiedete spiegazioni e una conferma scritta con un nuovo preventivo.
- I dentisti croati spesso non addebitano: prima visita, diagnostica, anestesia, estrazioni e altri lavori preparatori: questo può ridurre molto il costo rispetto all’Italia.
2) Qualità degli impianti
Un impianto può essere premium (es. Straumann, Nobel), standard (es. Dentium, ICX e molti altri) oppure low cost. Ogni impianto accettabile è in lega di titanio, biocompatibile e con una superficie progettata per legarsi all’osso. Un impianto ha un numero di serie, un libretto e una garanzia, che dovete ricevere dal dentista.

Gli impianti low cost spesso non sono realizzati con gli stessi standard e talvolta (così come le componenti) vengono prodotti/fresati da laboratori odontotecnici interni. Questi impianti possono essere pericolosi: le complicanze possono essere serie. La complicanza più frequente è il riassorbimento osseo e la perdita dell’impianto; la correzione non è semplice e richiede spesso innesti di osso artificiale, tempi di guarigione (se possibile) e un nuovo impianto. In caso di complicanze più gravi (non rare con impianti low cost), a causa di riassorbimento osseo o infezioni importanti, reinserire un nuovo impianto può diventare impossibile e bisogna cercare soluzioni alternative.
Cosa fare? Chiedete al medico il libretto dell’impianto e una conferma scritta di ogni fase del trattamento.
- Pretendete che nel preventivo sia indicata la marca dell’impianto che verrà inserito.
- Per ogni impianto inserito dovete ricevere un libretto con numero di serie, marca e garanzia.
- La garanzia di solito include un nuovo impianto gratuito, ma spesso non copre il lavoro del medico: chiedete una spiegazione chiara del percorso terapeutico.
- Se l’osso mascellare/mandibolare è sano, l’osteointegrazione richiede almeno 3 mesi e il lavoro definitivo può essere inserito dopo circa 6 mesi. In alcuni casi l’impianto può essere inserito subito dopo l’estrazione, ma solo se l’osso è in buone condizioni. Accelerare la terapia aumenta il rischio di complicanze.
- Chiedete un piano di terapia dettagliato. Se non avete volume osseo sufficiente, può essere necessario un aumento osseo o un rialzo del seno mascellare, che prolunga la terapia di circa 6 mesi. Saltare questo passaggio per risparmiare può portare con alta probabilità a complicazioni negli anni successivi e a ulteriori costi.
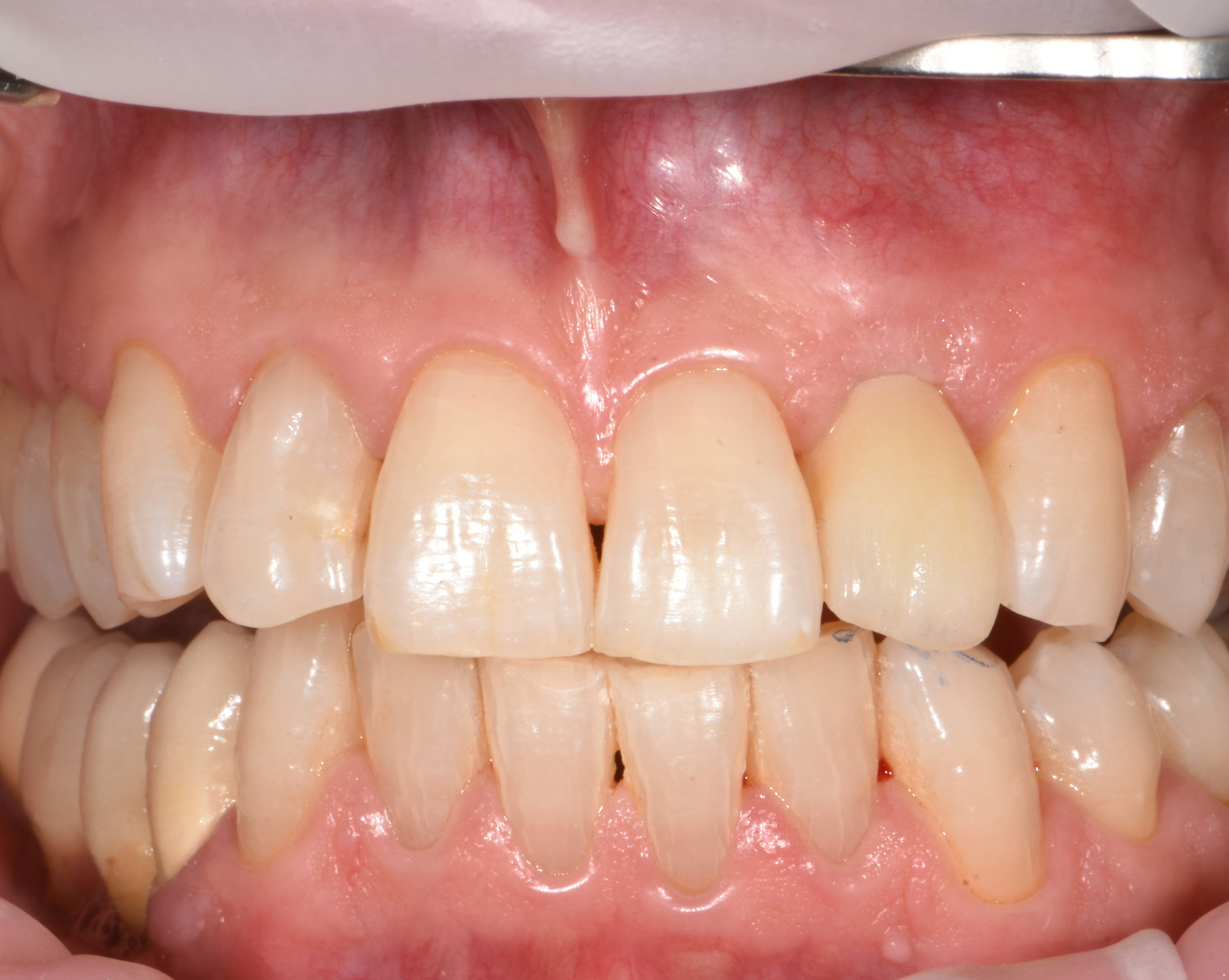
- Chiedete al dentista se si tratta di approccio FP1, FP2 o FP3 per corona/ponti su impianti.
- In FP3, la corona o il ponte hanno una parte in resina/plastica che copre la gengiva: è la soluzione più semplice ed economica.

- In FP2, la corona o il ponte appoggiano direttamente sulla gengiva (senza estensione in plastica), risultando più naturale e con un costo spesso simile all’FP3.

- In FP1, la corona viene posizionata sotto il margine gengivale e appare completamente naturale: può richiedere procedure più accurate e può costare di più.

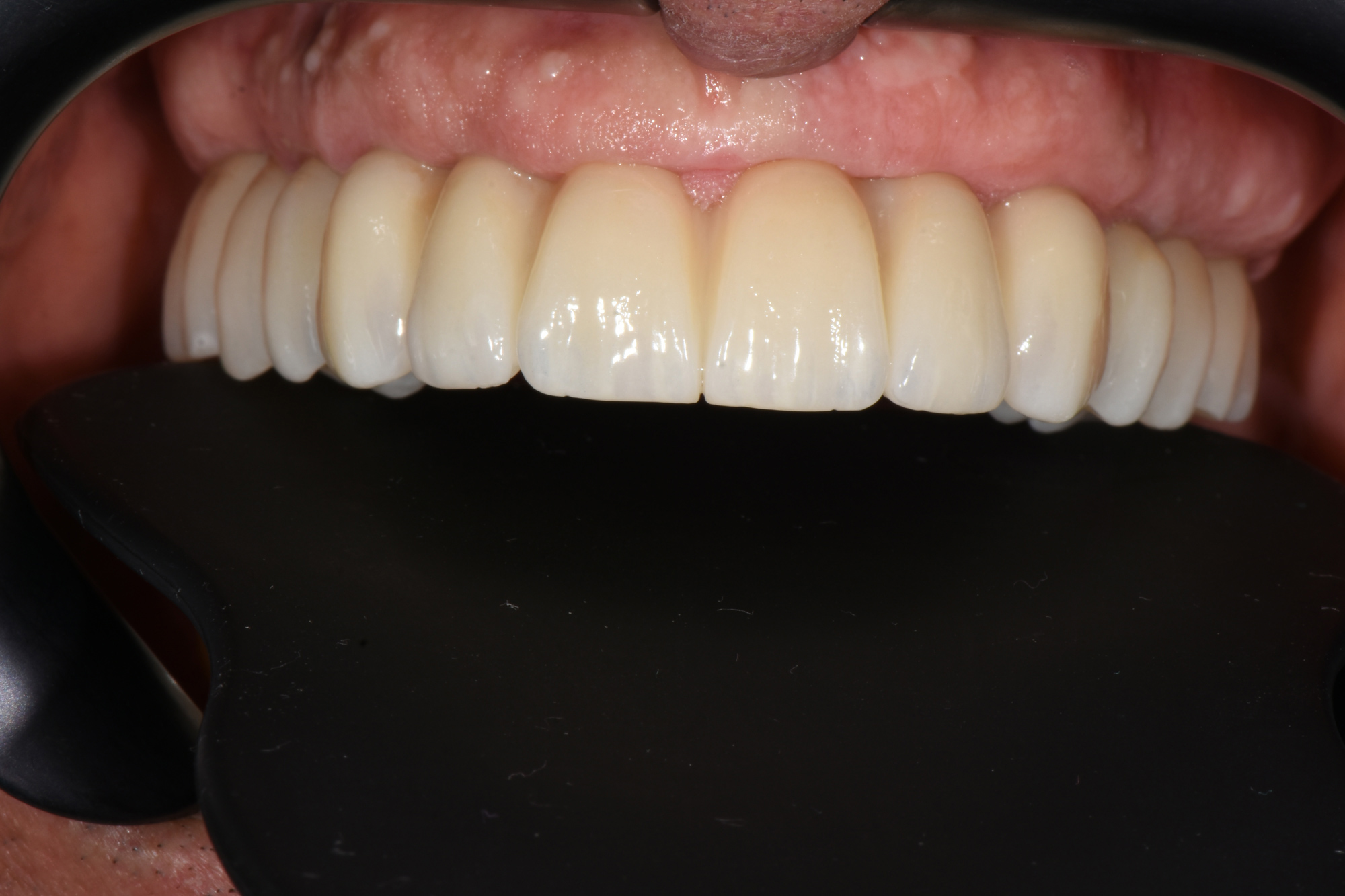
3) Qualità di corone e ponti
I materiali usati per corone e ponti su impianti hanno caratteristiche diverse e i prezzi possono variare molto. Dopo l’inserimento dell’impianto, vengono posizionati denti provvisori: sono esteticamente e funzionalmente accettabili. Alcune cliniche li presentano come possibile lavoro “definitivo” a basso costo, ma tenete presente che sono meno stabili e dopo alcuni mesi possono rompersi.
Se non viene inserito un lavoro definitivo in zirconio, ceramica integrale, metallo-ceramica, composito o altri materiali su struttura metallica o in titanio, può verificarsi il movimento degli impianti e potrebbe essere necessario rifare il lavoro definitivo, con nuovi costi.
Come scegliere il materiale e un dentista di cui essere soddisfatti
- I materiali per corone e ponti sono diversi: informatevi sulle proprietà e sui costi di ciascuno.
- Richiedete preventivi e garanzie per il lavoro protesico con il materiale specificato.
- Informatevi se la clinica ha un laboratorio interno o lavora con esterni: con un laboratorio interno, piccole modifiche e adattamenti si possono fare subito (molto importante se viaggiate, per ridurre visite e tempi).
- Tutti i dentisti fotografano i propri lavori: anche se non sono sul sito, di solito hanno immagini dei casi finali.
4) Competenza dell’implantologo
I dentisti croati, soprattutto a Rijeka (Fiume) e Zagabria, collaborano da molti anni con pazienti italiani. Molti hanno completato diverse formazioni e seguono tecnologie moderne e nuovi approcci nelle terapie implantologiche. Le cliniche più grandi utilizzano diagnostica e apparecchiature avanzate che aumentano precisione e qualità (TAC 3D, DSD, CAD/CAM, implantologia guidata digitalmente, ecc.). Maggiori informazioni sulle tecnologie:
Le cliniche odontoiatriche in Croazia utilizzano tecnologie all'avanguardia
Le cliniche più strutturate inviano regolarmente i dentisti a corsi di aggiornamento; inoltre, grazie all’alto numero di pazienti, questi medici hanno grande esperienza e protocolli ben consolidati, con ottimi risultati.
Come scegliere la migliore clinica e il vostro dentista
- Nei contatti o sul sito, verificate se la clinica ha un implantologo/chirurgo interno e stabile o se si affida a collaboratori esterni. Nelle cliniche senza chirurgo interno, la terapia viene spesso accelerata per motivi di organizzazione/costi, con preparazione talvolta non ottimale. Per interventi implantologici scegliete una clinica con chirurgo interno.
- Sul sito della clinica spesso sono indicate le formazioni frequentate: potete farvi un’idea della competenza.
- Durante la visita chiedete più soluzioni per la vostra situazione (di solito esistono almeno 2–3 opzioni) e valutate quale sia la migliore qualità compatibile con il vostro budget (es. per edentulia totale: All-on-4, All-on-6, protesi su barra, protesi su attacchi Locator; in caso di grave mancanza di osso: impianti zigomatici o “zero bone implant”). Approfondimento: Impianti Zigomatici
- Controllate le recensioni della clinica e del chirurgo.
- Visitate i social (Facebook e Instagram) della clinica e del medico per vedere i lavori.
- Quando pianificate la terapia, fate attenzione al numero di visite (per interventi implanto-protesici servono almeno 4 visite) e richiedete un preventivo scritto.
Volete una stima indicativa del costo prima di partire?
Inviateci la vostra panoramica e richiedete un preventivo non vincolante dalle migliori cliniche a Rijeka e Zagabria. I nostri esperti da oltre 10 anni aiutano i pazienti italiani ad accedere a cure di qualità, con prezzi vantaggiosi, offrendo assistenza anche per il viaggio.